Vitamin D Supplements: Who Should Take Them, and How Much? New guidelines pinpoint minimum requirements for everyone and identify groups who may need even more.
Aldridge Lab Uncovers New Insights into How TB Grows Mycobacterium tuberculosis growth patterns are distinct from those of other bacteria
Using Sensitivity to Uncertainly in Schizophrenia Research Halassa lab findings reveal possible diagnostic tool
Inaugural Team Science Summit Connects Climate and Health Experts Lightning talks enabled attendees to maximize knowledge exchange on current projects and capabilities
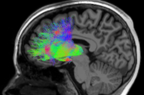
Teaching AI the Rules of the Brain Tufts neuroscientist Michael Halassa on generating data from neurons to inform artificial intelligence.
Tufts Giving Tuesday: ‘No Better Feeling’ Collective charitable giving will deliver powerful impact on December 3